Marque sua consulta
Insira seus dados no formulário e entraremos em contato.
- FALE PELO WHATSAPP (51) 98446-1749
- MANDE UM E-MAIL: contato@rcodontologia.com.br
O que é Bruxismo?
Bruxismo é um hábito parafuncional que se caracteriza pelo ranger ou apertar dos dentes tanto durante o dia, quanto, o mais freqüente, durante o sono.
Pode se manifestar tanto na pessoa quando está dormindo ou quando está acordada. Esta divisão é importante, pois a fisiopatologia e o tratamento para estes tipos de bruxismo são diferentes. Esta manifestação acontece principalmente em momentos de tensão, estresse, nervoso ou até mesmo quando está concentrada lendo um livro, estudando, usando o computador ou assistindo TV.
A RC Odontologia é referência em Porto Alegre no tratamento de bruxismo diurno, noturno, adulto e infantil.
Marque sua consulta pelo WhatsApp
Quais são as causas do Bruxismo?
O bruxismo está altamente associado ao estresse, ansiedade, raiva, frustração ou tensão e pode atingir qualquer pessoa, independente da faixa etária. O bruxismo diurno é uma atividade semi-voluntária de apertar os dentes inferiores contra os superiores e vice-versa e o bruxismo noturno é inconsciente. Ele pode ainda estar associado à má oclusão dos dentes, a outros problemas do sono, como a apnéia, por exemplo, dor de ouvido ou de dente e refluxo gástrico, ou ser efeito colateral incomum de alguns medicamentos e complicação de doenças, tais como a doença de Huntington ou doença de Parkinson, por exemplo. A idade, uma personalidade agressiva, certas substâncias estimulantes, como cigarro, álcool, cafeína e drogas também podem atuar como fatores precipitadores e aumentar o risco de bruxismo.
Quais são os principais sinais e sintomas do bruxismo?
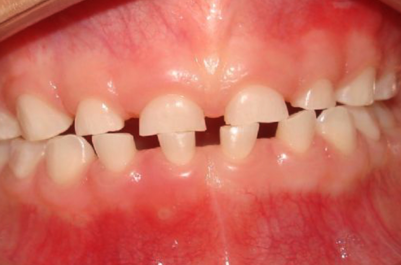
Os principais sinais e sintomas do bruxismo são o ranger dos dentes, às vezes tão alto que se torna audível para as outras pessoas, dentes achatados, fraturados, lascados ou soltos, esmalte dental desgastado, dor na face ou na mandíbula, hipertrofia da musculatura da face, dor de cabeça, sensação de calor ou frio nos dentes, dores musculares que podem atingir o pescoço ou mesmo os ombros, fadiga, alinhamento incorreto dos dentes e fechamento inadequado da boca.
Bruxismo noturno
O bruxismo do sono é considerado um distúrbio de movimento relacionado ao sono. Neste tipo de bruxismo, é mais comum o ranger de dentes, o que não ocorre durante toda a noite, mas vem em crises, principalmente nas fases de sono mais leves.
Você acorda com dor de cabeça?
A causa pode ser o Bruxismo realizado durante o sono.
Bruxismo diurno
No bruxismo diurno, a pessoa permanece por longos períodos apertando ou encostando os dentes, principalmente em momentos de tensão, estresse, nervoso. Por manter a musculatura em uma mesma posição por muito tempo, este tipo de bruxismo parece estar mais relacionado às dores musculares na face e cabeça.
Bruxismo na Infância
O que fazer quando as crianças rangem os dentes enquanto dormem?
Muitas crianças ansiosas ou que sofreram uma alta carga emocional desenvolveram um distúrbio que se chama bruxismo. Ou seja, elas passaram a ranger os dentes enquanto dormem. Este movimento involuntário da mandíbula, que na maioria das vezes ocorre quando a gente adormece, atinge aproximadamente 19% dos meninos e meninas. Se for persistente, desgasta os dentes, modifica a estrutura óssea temporomandibular.
Recomenda-se uma consulta para acompanhamento, dessa forma, é possível fazer um diagnostico precoce e correto, diminuindo ou até evitando problemas futuros. Vale lembrar que o tratamento do bruxismo é simples.
Marque sua consulta pelo WhatsApp
Qual o tratamento para o Bruxismo?
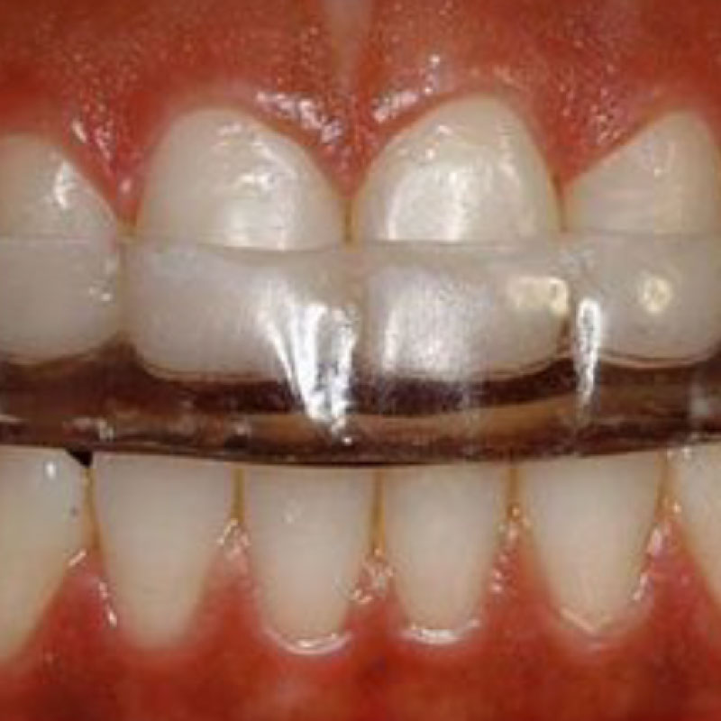
Os principais objetivos do tratamento são reduzir a dor, evitar danos permanentes aos dentes e reduzir o ranger ao máximo. Uma placa pode ajudar a reduzir o travamento. Existem muitos tipos diferentes delas, sendo que algumas se encaixam nos dentes superiores e outras nos dentes inferiores. Elas podem ser projetadas para manter sua mandíbula em uma posição mais relaxada ou proporcionar alguma outra função. Hábitos como mascar chicletes, morder ou apertar objetos devem ser considerados como um vício concomitante do bruxismo e, portanto, eliminados durante o tratamento. Os tratamentos atuais são conservadores e apresentam excelentes resultados, como autocuidados, medicações, placa de mordida, fisioterapia, entre outros.
Sistema mastigatório
O sistema mastigatório é extremamente complexo, formado basicamente por ossos, músculos, ligamentos e dentes. O movimento é regulado por um sistema de controle neurológico composto por cérebro, tronco cerebral e sistema periférico. A mecânica e a fisiologia deste movimento são essenciais para a função mastigatória equilibrada.
A mandíbula é o único osso móvel da cabeça e do rosto, mas ela só pode se mover em algumas direções devido às limitações morfológicas e estruturais da ATM.
ATM – Articulação Têmporo-Mandibular: fossa mandibular do osso temporal e cabeça do côndilo da mandíbula. Responsável pelos movimentos da mandíbula.
Os principais movimentos mandibulares quanto à direção são:
Toxina para o Bruxismo?
Em alguns casos, onde há sintomatologia dolorosa, podemos indicar este procedimento para minimizar os danos desta parafunção. O método consiste em duas ou três aplicações da toxina tipo A no músculo masseter (localizado em ambas as faces, entre a maçã do rosto e a mandíbula). A substância inativa os impulsos nervosos que contraem o músculo, diminuindo o tônus muscular e deixando o rosto com um contorno mais delicado. Tal procedimento reduz os problemas causados pelo bruxismo, como dores na coluna cervical, dores na face e fraturas dentárias.
Para os casos mais graves, a aplicação da toxina no músculo temporal (região lateral na direção dos olhos) é outra alternativa a se considerar, uma vez que é parte do processo de mastigação, e sua contração exagerada pode agravar o quadro dos pacientes. Além da eficácia estética, a aplicação irá trazer qualidade de vida ao paciente, reduzindo os transtornos causados pelo bruxismo.
